ハタケシメジのDNA系統識別


[要約]
三重県内で栽培されている主要品種「亀山1号」を含むハタケシメジ10系統について、3種類のRAPDプライマーを用いたPCRによって互いに分類するDNA系統識別法を開発した。

[キーワード]ハタケシメジ、DNA、系統識別

[担当]三重科技セ・農業研究部・経営植物工学グループ
[連絡先]電話0598-42-6356
[区分]関東東海北陸農業・生物工学
[分類]技術・参考

[背景・ねらい]
 近年、農産物の偽装表示や海外への不正流出・再流入が問題となっているが、きのこでDNA鑑定できるものは流通量の多いシイタケ等に限られている。ハタケシメジは抗腫瘍作用等で注目されており、生産量全国2位(53.5t、H15)の三重県では栽培規模が拡大している。しかし、これまでの事例も少ない上に、地域によって異なる系統が栽培、自生しているため、それぞれに手法の開発が必要となる。そこで、三重県内で栽培されている主要品種を含むハタケシメジについて、DNA系統識別法を開発する。

[成果の内容・特徴]
1. 反応液は、0.5μM RAPDプライマー(OPERON社)、0.5Unit rTaq polymerase(TaKaRa)、1倍希釈添付Buffer 、0.2mM dNTPs、鋳型DNA約5ngとし、全量を10μLとする。PCR反応は94℃2分、(94℃30秒・36℃1分・72℃2分)35サイクル、72℃10分とする。
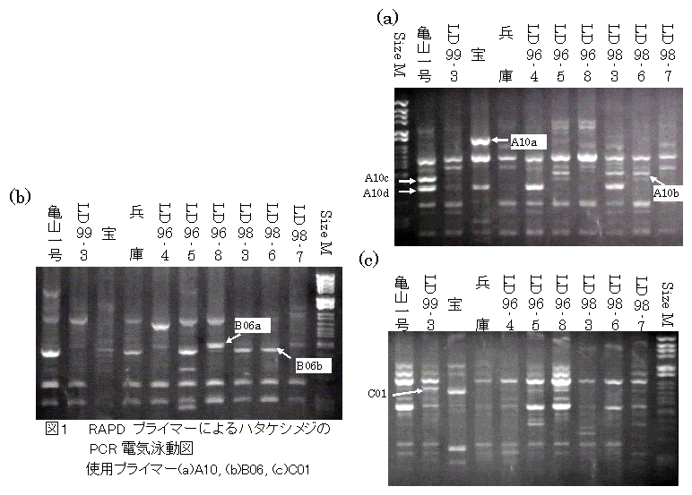
2. ハタケシメジ10系統について、RAPDプライマー22種類でPCRすると、8種類のプライマーで、識別が容易な多型を示すマーカーが17個得られる(表1)。
3. これらのうち、反応数を最少にできるプライマーの組み合わせを用いた場合、ハタケシメジ10系統は3種類のプライマーで検出される7個の多型により識別することができる(表2図1)。
4. 分析に要する日数は、50検体程度の場合、DNAの抽出に6時間、PCR反応に4時間、電気泳動に2時間ほどで合計1日半ほどである。

[成果の活用面・留意点]
1. 三重県の主要栽培種「亀山1号」や今後普及を見込む品種候補「LD99-3」をはじめ、栽培・自生しているハタケシメジについて、生産、流通、販売、消費の各段階で表示の真偽や他系統混入の有無等を検定できる。
2. 判別をより明確化さするため、RAPDプライマーのSTS化が必要である。
3. さらに多くの識別マーカーを増やすことで、栽培上の品質管理(変異株の検知・除去による優良系統の維持)や系統樹作成による育種目的などに利用できる。


[具体的データ]


[その他]
研究課題名:三重県特産品の系統判別技術の開発
予算区分:県単
研究期間:2003~2004年度
研究担当者:橋爪不二夫、山本有子

目次へ戻る