タイ産長粒米(インデカ種)のサヌキ白味噌への利用

[要約]
タイ米(タイ産インデカ種)をのない蒸し米に仕上げるには、水道水へ1.5時間浸漬し、1時間加圧蒸煮(102℃~104℃)すると、蒸し米の芯はなく色も変色しない。
香川県食品試験場・加工食品
[連絡先]0878-81-3177
[部会名]食品
[専門]加工利用
[対象]稲類
[分類]普及

[背景・ねらい]

県内味噌業界も国内産多用途利用米の全面切り替えにより、タイ産米(インデカ種、以後タイ米と略する)利用が避けられない状況になった。平成5年11月に香川県味噌工業協同組合からタイ米の蒸煮試験を緊急依頼されたので、芯のない蒸米を造ることを目的とし、蒸煮条件及び浸漬条件について検討した。

[成果の内容・特徴]
  1. 加圧蒸しの効果
     浸漬は水道水に1.5時間浸漬し、加圧蒸しはオートクレープを使用し、約0.15kg/㎠(102℃~104℃)の条件で加圧蒸煮した。表1より、蒸し米は、やや堅いが芯のある蒸し米はなかった。色調も、一度蒸しの蒸し米と変わらない。
  2. 加圧による蒸し米の色調への影響
     表2より、1度蒸しのタイ米に比べてx及びy値は共に大きくなり、ハンター白度Hが小さくなった。102℃~104℃で蒸した場合、処理量が多くなると、視感にも着色が確認出来るほど着色する可能性がある。しかし、1度蒸しとの視感的な着色差は僅かであり、麹になると菌糸が蒸し米の表面を覆い尽くすので、この様な処理による蒸し米の色調が味噌の色調には影響しないと思われる。
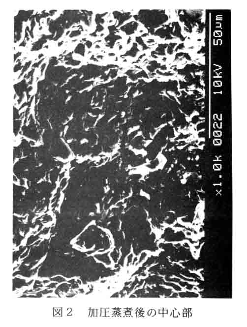
  3. 浸潰米及び蒸し米の微細構造
     加圧蒸ししたタイ米の表面は1度蒸しと異なりザラツキが見られるが、糊化したデンプンで覆われている(図1)。しかし、内部の個々の細胞は1度蒸しと異なり、個々の細胞は変形し、隙間も出来、脆い組織となっている。対照として処理した国内米の蒸し米麦面と内部は、1度蒸しされたタイ米の表面と同様に糊化したデンプン(ヨード反応による確認)に覆われ、内部は加圧蒸煮したタイ米と同様に 個々の細胞は変形し、脆い構造となっている(図2)。
[成果の活用面・留意点]
  1. タイ米の需給見通が不明であるから、加圧蒸煮には現有の装置(大豆の加圧装置等)を考慮する必要がある。

 [その他]
 
研究課題名:タイ産長粒米(インカ種)のサヌキ白味噌への利用
予算区分  :県単
研究期間  :平成6年度
研究担当者:白川武志、小倉元成、田村桂子
発表論文等:研究報告,86号,7p
 
目次へ戻る