飼料作物病害図鑑
エピクロエ・エンドファイト(グラス・エンドファイト)
![]() |
![]() |
![]() |
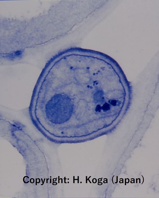
![]() |
| ライグラス葉身中の菌糸(染色後) | 種子デンプン粒間の 菌糸(染色後) |
細胞壁表面を這う菌糸 (SEM, 矢印) |
菌糸断面(TEM) 宿主植物との間の基質 |
![]() |
![]() |
![]() |
|
| 宿主植物からの分離培養 | 耐虫性効果(シバツトガ) E+: エンドファイト感染、E-: 非感染 |
耐病性効果(夏斑点病) 左:E+、右:E- |
特徴:イネ科植物の内生菌(エンドファイト)であるため、一般的に無病徴で、感染した植物は非感染植物と区別がつかない。チモシー、チューイングフェスクおよびカモジグサ類がまの穂病のように、植物種と菌種の組み合わせによっては「がまの穂」病徴となる。全国に発生。
原因菌:(1) Epichloë coenophiala (Morgan-Jones & W. Gams) C.W. Bacon & Schardl (=Neotyphodium coenophialum (Morgan-Jones & W. Gams) Glenn, C.W. Bacon & Hanlin, Acremonium coenophialum Morgan-Jones & W. Gams、トールフェスク菌)
(2) Epichloë festucae Leuchtm., Schardl & M.R. Siegel (=Neotyphodium lolii (Latch, M.J. Chr. & Samuels) Glenn, C.W. Bacon & Hanlin var. lolii (Latch, M.J. Chr. & Samuels) C.W. Bacon & Schardl、ライグラス菌)
(3) Epichloë occultans (C.D. Moon, B. Scott & M.J. Chr.) Schardl (=Neotyphodium occultans C.D. Moon, B. Scott & M.J. Chr.、ライグラス菌)
(4) Epichloë uncinata (W. Gams, Petrini & D. Schmidt) Leuchtm. & Schardl (= Neotyphodium uncinatum (W. Gams, Petrini & D. Schmidt) Glenn, C.W. Bacon & Hanlin、メドウフェスク菌)、麦角菌科(子のう菌)
葉身や葉鞘などでは、無色で分枝が少なく、捻れた菌糸が植物細胞間隙を進展する。種子内にも侵入し、菌糸がデンプン粒間を進展して、次世代への感染源となる。日本ではトールフェスクのエコタイプ(環境型)および輸入芝草品種からE. coenophialaが(古賀ら 1993e, 1994c)、ペレニアルライグラスのエコタイプからE. festucaeが(古賀 1993, 古賀ら 1993c, 1993d, 1993e)、メドウフェスクのエコタイプからE. uncinataが分離されている(古賀 1992a, 1993e, 1994d)。また、1990年代に関東および中国地方など1都1道15県で路傍や野草地などに自生する87属230種から探索を行った結果、トボシガラ、スズメノカタビラ、オオイチゴツナギ、ミゾイチゴツナギ、タマミゾイチゴツナギ、カラスムギ、バケヌカボ、イヌムギなど13属 27種のイネ科植物葉身、地際部茎および穂軸からエピクロエ・エンドファイトが分離された(島貫ら 1997, 1999c, 榎本ら 1998)。Agropyron, Agrostis, Bromus属等のイネ科草からも分離・検出された(比留間・篠崎 1995, 善林ら 1996, 吉田ら 1997, 王ら 1997, 菅原ら 2009c)。ペレニアルライグラスでは根からも分離される(笠原ら 1993)。E. occultans(syn. N. occultans)は,ライグラス類の茎頂分裂組織周辺に菌糸が局在する種として、ニュージーランドと米国の研究グループの共同研究で発見・命名され(Moon et al. 2000)、その後、日本国内の野生化したライグラスでも広範な感染が確認された(菅原ら 2002, 2003a, 2004, Sugawara et al. 2006)。
生理・生態:米国では地域によってはトールフェスクなどの感染率が高いことが知られているが(雑賀・前嶋 1998, 宮浦ら 2005)、日本でもフェスク、ライグラス、アオカモジグサ、シバムギ等で菌が分離され、毒素産生性などの遺伝的多様性が検討されている(上田ら 2002, 古賀ら 2002, 2014, 石黒ら 2003, 菅原ら 2004a, 山下ら 2008, 伊津ら 2019, 2020)。流通品種(前嶋・雑賀 1998, 佐々木ら 2000a)や各地の自生系統の感染率および定着状況が調査され(佐藤ら 1993, 1995, 前嶋ら 1999, 吉田ら 2000, 雑賀ら 2001, 柳田ら 2004, 中西ら 2004, 但見ら 2005a, 2005b, 藤本ら 2005, 山下ら 2006, 戸村ら 2010)、自生ライグラス(ネズミムギ)では特に西日本で感染率が高く、エンドファイトが耐虫性や環境ストレス耐性を高めることにより、宿主植物の野草化と分布拡大を促進しているとされる(山下 2002, 山下ら 2002, 2007, 松田ら 2005)。食植性昆虫の種類や密度も影響を受ける(丸山ら 2008, 2009, 水元ら 2011, 内田ら 2012, 山下・澤田 2017, 2019)。エンドファイトの検出は感染植物からの組織分離、電顕観察あるいは葉鞘、茎頂分裂組織や花器を染色観察して行うが(古賀ら 1998, 2000, 大久保ら 2001, 菅原ら 2003b, 2007b, 2017, Sugawara et al. 2004)、菌体蛋白質の差異による免疫化学的判定(秋山ら 1992, 1998, 1999, 深見ら 1993, 1997, 中嶋 2003)やPCR法(菅原ら 2006c, 2006d, 2009b)により検出できる。突然変異や疑似有性生殖を用いた手法により(赤野ら 2009, 潮田ら 2009, 磯部ら 2015, 2016a, 2016b, 2017, 竹本 2017, 三浦ら 2018)、菌糸の先端で産生される局所的活性酸素が菌糸の成長や分岐を調節し(竹本ら 2009, 田中ら 2011, Tanaka et al. 2008, 2013, 榧野ら 2012)、植物生長と同調した菌糸成長を制御する低分子量Gタンパク質等の制御因子が存在する(田中ら 2009, 2011a, 榧野ら 2010, 2013, 2014, 2015, 2016, Kayano et al. 2013, 2018, 神谷ら 2016a, 2016b, 稲垣ら 2018, 神山ら 2020, 2021, 名古屋大研究教育成果情報)ことが明らかにされた。植物の細胞壁と菌との間には、養水分授受を行うと推測される細胞基質が存在し(Koga et al. 1993b)、植物と菌の不親和性組合せではこれが変性するとされる(古賀ら 1993g)。種子伝播や種子内での菌糸形態が観察され(菅原ら 2000a, 中嶋ら 2003, 上田ら 2003, 阿部ら 2007, 2008, 内ヶ崎ら 2009)、種子内の菌糸は薬剤あるいは高温処理で除去できる(雑賀ら 2002, 阿部ら 2006)。宿主植物の分子系統と関連するエンドファイトの遺伝子解析が行われている(菅原 2003, 2005c, 菅原ら 2010c, 2010d)。
ストレス耐性と利用:エンドファイトに感染した植物は、耐虫性、耐病性および環境ストレス耐性などを獲得する。特に耐虫性は顕著な効果を示し、人工接種(古賀ら 1993f)により感染させたペレニアルライグラスとトールフェスクはシバツトガ等に明瞭な耐虫性を示す(古賀 1992, 古賀・平井 1994, 古賀ら 1992c, 1994e, 1994f, Koga et al. 1997, 神田ら 1992a, 1994)。感染メドウフェスクはムギクビレアブラムシに耐虫性を示した(神田ら 1992b)。カメムシ類、アワノメイガ、イネヨトウ、コクヌストモドキ類などの重要害虫への効果も高い(吉松ら 1998a, 1998b, 1999, 柴ら 2001, 2002, 2003, 2004a, 2004b, 2007, Shiba and Sugawara 2010, Shiba et al. 2007, 松倉ら 2012, Matsukura et al. 2012)。ヤマヌカボ(Agrostis clavata)から分離されるエンドファイトもシバツトガ耐虫性を付与するが、同じAgrostis属のベントグラスへの接種は成功していない(浅野ら 1998)。耐虫性は感染時に菌がぺラミン、ロリンアルカロイドなどの昆虫に摂食障害をもたらす物質を産生するためで(柴ら 2008b, 2008c, 2014, Shiba et al. 2015)、自生系統や流通品種での含有量の分析が行われている(金ら 1998, 岡崎ら 1998, 前嶋ら 2000, 佐々木ら 2002, 2004, 雑賀ら 2003a, 笠井ら 2005, 井上・小林 2006, 戸村ら 2009)。これらの物質の生合成遺伝子は植物感染時に特異的に誘導される(竹本ら 2011)。耐病性はライグラスで夏斑点病および葉腐病に対して効果が認められている(島貫ら 1999a, 1999b, 三浦ら 2017)。耐病性に関しては、抗菌性物質ポリリジンの産生が報告されている(竹本ら 2020)。環境ストレス耐性は、低リン酸などの環境条件下で感染植物の生育やミネラル吸収が促進されることが報告されている(山崎ら 2002, 児玉ら 2003, Rahmanら 2003, Rahman et al. 2006, Rahman and Saiga 2005, 2007, 佐藤ら 2005a, 2005b, 内ヶ崎ら 2008)。E. festucaeはライグラス幼植物の生育を促進する新規エルゴステロール類を産生する(荒谷ら 2003)。一方でエルゴバリンおよびロリトレムBなどの家畜毒性アルカロイドも産生するため、牧草としての家畜への給与には注意が必要である(Miyazaki et al. 2001, 宮崎 2007, 井上・藤中 2000, 井上 2003, 井上ら 2004a, 2004b, 岡田・井上 2010, 山中 2013)。このため、家畜毒性アルカロイドを産生しない菌種・菌株の利用が進められ、E. uncinataが自然感染した系統を選抜して育成したメドウフェスク品種「北海12号」(中山ら 1998)、「ハルサカエ」(高井ら 1998, 2001)が育成され、同菌をイタリアンライグラスに人工接種して耐病虫性系統が育成された(佐々木ら 2000b, 2007, 2008, 2009, 2010, 2011, 笠井ら 2000, 2001a, 2001b, 2002a, 2002b, 2004, 2006, 柴ら 2004a, 2011)。E. occultansは家畜毒性物質を産生せず、耐虫性物質であるN-フォルミルロリンのみを産生するため、抵抗性育種への利用価値が高い(柴ら 2008a, Shiba and Sugawara 2009, Shiba et al. 2011, 菅原ら 2009a)。また、エンドファイト感染ライグラスを種子親とすることにより交配後代を感染させることができ(菅原ら 1999, 2000b, 2009a, Sugawara et al. 2009)、この方法により感染フェストロリウムが育成されている(久保田ら 2014, 2015, 久保田・藤森 2017, 2018)。フェストロリウム幼苗に直接接種することも可能である(菅原ら 2020)。植物生長ホルモン産生遺伝子が遺伝子組換えによりエンドファイトに導入されている(Yunusら 1999a, 1999b)。アルカロイド産生と耐虫性との関連および宿主後代への種子伝染率の変動が解析され(高井 2000, 吉田ら 2017, 2018, 2019)、牧草育種に生かされている(荒川ら 2009c, 2011, 2014, 清ら 2017, 2019)。感染植物を混植するとトマト等の作物の線虫防除が可能とされる(上田ら 2017)。
総論:但見(1991b), 古賀(1993, 1994, 2001), 羽柴ら(1998), 菅原・柴 2009, 菅原(2017a, 2017b, 2019a), 菅原ら(2019), 雑賀(2003), 山下(2012), 家畜疾病図鑑Web
総説:古賀(1995), 菅原(2002, 2011), 菅原・柴(2005)
畜産研究部門(那須研究拠点)所蔵標本 なし
(月星隆雄、菅原幸哉、吉田信代、畜産研究部門,畜産飼料作研究領域,2021)
本図鑑の著作権は農研機構に帰属します。