更新日: 2017年2月14日
高病原性鳥インフルエンザウイルスの電子顕微鏡写真です。
鳥インフルエンザウイルスの亜型による形態の違いはありません。
*画像をクリックすると別ウィンドウで拡大します。
お願い
・画像をテレビ放映や新聞掲載などに使用される場合は、事前にご連絡いただくようお願いします。
事前の連絡はこちらのフォームからお願いします。
電子顕微鏡写真
1. 2016年11月28日の青森県の発生例から分離された株(H5N6)
| 死亡したフランス鴨の気管から発育鶏卵を用いて分離したウイルス。写真は、分離ウイルスを不活化して精製したもので、分離直後のウイルスは球状のものだけでなく、楕円形、桿状など様々な形をしています。 *中央の写真は左の写真にスケールを入れたもの。 |
||
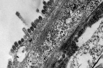
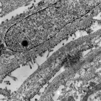
2. 2005年6月26日の茨城県の発生例から分離された株(H5N2)
| SPF鶏(健康な鶏)からとった細胞を培養して、その細胞にIbaraki/1/05株(H5N2)ウイルスを接種したもので、写真は細胞内で増殖したウイルスが細胞表面から飛び出してきている(出芽)像。 *右の写真は左の写真の一部を拡大したもの。細胞の突起からウイルスが出芽している様子がわかります。 SPF: Specific Pathogen Free(特定病原体不在) |
|
写真説明
![]() |
3. 2004年1月12日の山口県の発生例から分離された株(H5N1)
| SPF鶏(健康な鶏)からとった細胞を培養して、その細胞にウイルスを接種したもので、写真は細胞内で増殖したウイルスが細胞表面から飛び出してきている(出芽)像。 | |
写真説明
![]() |
参考:プレスリリースによる写真の提供
- 鳥インフルエンザウイルスの電子顕微鏡写真の提供 2005年10月4日 プレスリリース
- 高病原性鳥インフルエンザウイルスの電子顕微鏡写真の提供 2004年2月12日プレスリリース


